曼联是英超豪门曼彻斯特联足球俱乐部的简称,豪门的每一次引援曼联引援都会引起关注,近日英超联赛曼联成绩平平,曼联换帅引起热议。关于曼联攻防集锦,曼联所获荣誉等曼联新闻,以及曼联球员名单,曼联传奇,曼联欧冠集锦,曼联主教练等曼联的最新相关信息尽在体球网。
-
15-09-30
专家点评-欧冠:曼联VS沃尔夫斯堡
两队交锋近2次,曼联均全部取胜占据绝对优势。本轮曼联主场作战,更值得追捧,而且球队近期各项赛事表现得十分出色,目前获得3连胜之余2个主场更是零封对手,可见球队主场防守相当稳固,虽然首轮作客1-2输给荷甲球队埃因霍温,但没有影响到红魔鬼的发挥,主场值得看高...
标签:专家点评 -
15-09-29
鹿晗《超级冠军》献礼曼联再登顶
很多人都知道鹿晗自带着“曼联铁杆”的标签,他三年前转发的一条曼联官方微博甚至创造了微博评论数的吉尼斯世界纪录,目前这条微博的评论数已经刷到了1亿多。而在上周五,鹿晗举办了一场首唱会,为大家献上了这首以足球为主题的全新单曲《超级冠军》。巧合的是,一天过...
-
15-09-29
赛前分析-欧冠杯:曼联VS沃尔夫斯堡
两队交锋近2次,曼联均全部取胜占据绝对优势。本轮曼联主场作战,更值得追捧,而且球队近期各项赛事表现得十分出色,目前获得3连胜之余2个主场更是零封对手,可见球队主场防守相当稳固,虽然首轮作客1-2输给荷甲球队埃因霍温,但没有影响到红魔鬼的发挥,主场值得看高一...
标签:赛前分析 -
15-09-29
巴尔德斯曼联再遭范加尔羞辱 或投死敌利物浦
昔日巴萨门神巴尔德斯再遭羞辱,据英国媒体《镜报》最新消息披露,曼联主帅范加尔再次出台侮辱这名前巴萨门神的规定:不能与曼联一线队同时使用训练基地,只能和青年队教练一起工作。...
标签:英超 -
15-09-29
曼联主帅范加尔敲打马夏尔:别学迪马利亚
北京时间10月1日2:45分,欧冠小组赛继续展开争夺,曼联将主场迎战沃尔夫斯堡,曼联主帅范加尔表示,“马夏尔的进球数让我有些惊讶,但我们还要看看他能否保持这种连续性。”...
标签:英超 -
15-09-29
曼联利好 曝皇马愿1.1亿镑售贝尔
北京时间9月29日消息,今夏曾苦追贝尔的曼联迎来利好,据《地铁报》最新消息称,皇马有意在明年夏天出售贝尔,这意味着曼联的求购有很大的成功可能,一场重量级交易很可能在明夏发生。...
标签:英超 -
15-09-25
范加尔望续约曼联 红魔高层:得个冠军再谈吧
北京时间9月25日,据英国媒体《每日星报》报道,曼联主帅范加尔将推迟自己的退休计划,他希望能与曼联延长执教的合同,但是曼联高层却非常谨慎,球队希望经过一段时间的观望后在同范加尔就续约问题展开谈判,而获得一个冠军称号是续约的前提。...
标签:英超 -
15-09-23
曼联名宿内维尔力挺科斯塔:禁三场量刑过重
英足总经过调查确认科斯塔在球场上的暴力行为应被禁赛三场,而同时英足总还撤销了阿森纳染红球员加布里埃尔的红牌。科斯塔被禁赛三场在一些人看来过于严厉,曼联名宿大内维尔就是其中之一,他在自己的社交网络上表达了对英足总处罚决定的质疑。 ...
标签:英超 -
15-09-22
曼联9000万英镑回购C罗 曼联回购C罗是否明智
北京时间9月22日消息,据英国媒体最新爆料称,曼联有意斥资9000万英镑回购昔日王牌球星C罗,虽然葡萄牙球星是金球奖得主,但是对于红魔而言,打破世界足坛的转会费纪录收购CR7还是存在很大风险,《每日镜报》在今天给出了应该签C罗和不应该签C罗的各5大理由,看起来都有...
标签:英超 -
15-09-21
谁将接替范加尔执掌曼联 英媒评五大潜在候选人
曼联主帅范加尔日前确认,他将在合同到期后(即2017年夏天)卸任,那么,是最有可能接替范加尔执掌红魔帅印呢?英国媒体《镜报》日前列出五大潜在候选人。...
标签:英超 -
15-09-21
曼联红星马夏尔成长史:116分钟完美逆转
2场3球!马夏尔成为英超最炙手可热的球员。今年夏天,红魔“压哨”以浮动身价最高可能达到5800万英镑(即8000万欧元)从摩纳哥队签下的小将马夏尔,一举改写英超历史成为首位在个人出战的前两轮比赛中便取得三个进球的20岁以下球员。...
标签:英超 -
15-09-21
英超第6轮:南安普顿2-3曼联
北京时间9月20日23:00(英国当地时间16:00),2015/16赛季英格兰足球超级联赛第6轮一场焦点战在圣玛丽球场展开争夺,曼联客场3比2力克南安普敦,佩莱率先破门,马夏尔梅开二度,马塔进球,佩莱再次破门。曼联逆转取胜后距榜首的曼城2分位居次席。...
标签:国际足球 -
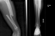
15-09-18
卢克肖伤腿X光照片曝光 曼联为其请心理医生
近日,卢克肖伤腿X光照片曝光,两处骨折清晰可见。根据《每日邮报》消息,惨遭断腿的曼联后卫卢克肖将会在荷兰面临第二轮手术。同时曼联将给这名后防大将寻找一名心理医生帮助其恢复。...
标签:英超 -
15-09-16
曼联客场1-2埃因霍温 卢克肖断腿赛季恐报销
北京时间9月16日凌晨2时45分,2015-16赛季欧洲冠军联赛B组展开首轮争夺。埃因霍温主场2-1逆转击败曼联。第41分钟,德佩率先打破僵局攻破旧主埃因霍温大门,补时第2分钟莫雷诺的头球攻门入网追平比分;第57分钟,于达米安的传球失误,纳尔辛格头顶弹地球得手完成逆转。第...
标签:欧战 -
15-09-16
欧冠小组赛:曼联客场1-2埃因霍温 德佩反戈
曼联欧冠小组赛开门黑,客场被埃因霍温2-1逆转击败,德佩率先进球后莫雷诺和纳辛格进球反超,卢克-肖重伤断腿,埃因霍温两个进球都是德佩的替身莱斯蒂恩尼助攻。...
标签:国际足球 -
15-09-16
惨!曼联天才卢克肖遭断腿恐赛季报销
北京时间9月16日,2015-16赛季欧洲冠军联赛B组展开首轮争夺。PSV埃因霍温队坐镇主场飞利浦大球场迎战曼联队。比赛第14分钟,卢克-肖遭遇严重受伤,右腿严重弯曲。从回放的镜头来看卢克-肖极有可能遭遇右小腿骨折,按照正常状况2015年基本报废,甚至赛季报销。...
标签:国内足球 -
15-09-16
欧冠:卢克肖断腿德佩反戈 曼联客场1-2遭逆转
北京时间9月16日凌晨2时45分,2015-16赛季欧冠联赛B组首轮在飞利浦大球场展开争夺,PSV埃因霍温队主场2-1逆转击败曼联队取得开门红。第41分钟,德佩率先打破僵局攻破旧主埃因霍温队球门,不过补时第2分钟莫雷诺的头球攻门碰布林德后入网追平比分;第57分钟,达米安的传...
标签:欧战烽火 -
15-09-14
切尔西闹门将荒 穆里尼奥已求租曼联门神
在主力门神库尔图瓦受伤后,贝戈维奇成为了切尔西的首发门将。但在迎来联赛2连败之后,穆帅对于贝戈维奇的发挥并不满意。日前,根据《机密报》和《镜报》等媒体的报道,穆里尼奥向俱乐部要求租借前巴萨、现曼联门神巴尔德斯。如果双方谈判顺利,巴尔德斯将在冬窗期加盟...
标签:英超




















